Palatal ExpanderIn San Marino
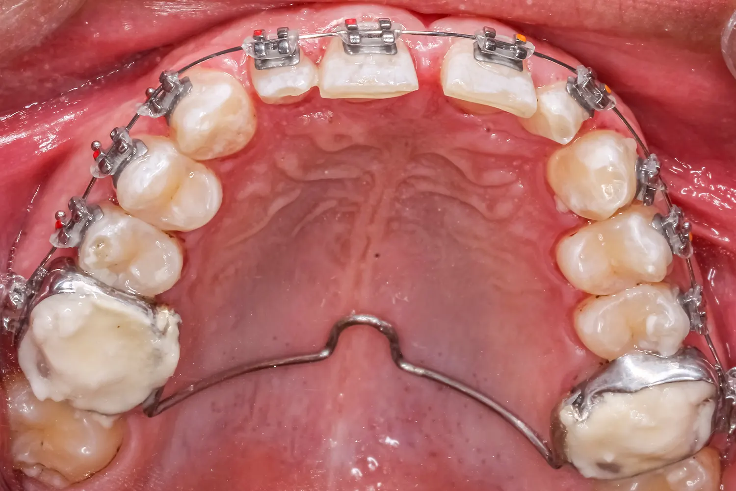
A palatal expander is a specialized orthodontic appliance designed to widen the upper jaw, creating more space in the mouth. This treatment is used for children and adolescents who are still growing, as it takes advantage of their developing bone structure to ensure effective results.
By gently applying pressure on the upper molars, the palatal expander gradually expands the palate, helping to correct issues such as crossbites, overcrowding, and breathing difficulties. At San Marino Orthodontics, Dr. Tina Siu and Dr. Daniel Chee are experts in the application and management of palatal expanders, ensuring a comfortable and successful treatment experience for patients in San Marino, CA.

Palatal ExpanderIn San Marino– Invisalign Alternative
A palatal expander is a specialized orthodontic appliance designed to widen the upper jaw, creating more space in the mouth. This treatment is used for children and adolescents who are still growing, as it takes advantage of their developing bone structure to ensure effective results.
By gently applying pressure on the upper molars, the palatal expander gradually expands the palate, helping to correct issues such as crossbites, overcrowding, and breathing difficulties. At San Marino Orthodontics, Dr. Tina Siu and Dr. Daniel Chee are experts in the application and management of palatal expanders, ensuring a comfortable and successful treatment experience for patients in San Marino, CA.

- MON
- 8 AM - 5 PM
- TUE
- 8 AM - 5 PM
- WED
- 9 AM - 4 PM
- THUR
- 8 AM - 5 PM
- FRI
- 8 AM - 5 PM
Why Should My Child Get a Palatal Expander?
Choosing a palatal expander can significantly improve oral health and overall well-being. For starters, it addresses issues of overcrowding, which can lead to misaligned teeth and potential oral health problems in the future. By creating more space, it facilitates proper alignment, setting the foundation for a healthier smile.
Additionally, a palatal expander can correct crossbites, which, if left untreated, might cause jaw pain and uneven tooth wear. By expanding the upper jaw, palate expansion can also improve breathing by opening up the nasal passages, which is particularly beneficial for children who experience sleep apnea or chronic mouth breathing.

Did you know…
Palatal expanders can help improve nasal breathing and reduce snoring in children.

The Benefits Of Palatal Expanders
Corrects Crossbites
A palatal expander effectively addresses crossbites by widening the upper jaw, ensuring proper alignment between the upper and lower teeth. This not only improves oral function but also enhances the overall aesthetic of your smile.
Prevents Overcrowding
By creating additional space in the mouth, a palatal expander prevents overcrowding, paving the way for straighter teeth and reducing the likelihood of needing more invasive orthodontic treatments and surgeries later on.
Improves Breathing
The expansion of the upper jaw can lead to better airflow through the nasal passages, improving breathing patterns. This can be particularly beneficial for children with sleep-related breathing issues, contributing to better sleep quality and overall health.
The Palatal Expander Treatment Process
Initial Consultation and Assessment

Initial Consultation and Assessment
The journey begins with a comprehensive consultation at San Marino Orthodontics, where Dr. Siu or Dr. Chee will conduct a thorough examination of your child's oral structure. This includes taking X-rays and dental impressions to assess the need for a palatal expander. During this visit, they will discuss the treatment plan, address any concerns, and provide detailed information on what to expect throughout the process.
Fitting the Expander

Fitting the Expander
Once the decision to proceed with a palatal expander is made, a custom appliance is crafted to fit your child's mouth perfectly. During the fitting appointment, the expander is carefully placed and adjusted to ensure comfort and effectiveness. Instructions on how to activate the expander, typically involving turning a small key, will be provided. This step is crucial for gradually widening the palate over the treatment period.
Regular Adjustments and Monitoring

Regular Adjustments and Monitoring
Throughout the treatment, regular visits to San Marino Orthodontics are essential to monitor your child’s progress and make any necessary adjustments. These appointments allow Dr. Siu and Dr. Chee to ensure the expander is functioning as intended and to address any concerns or discomfort that may arise. Consistent monitoring helps achieve the desired results efficiently and safely, setting the stage for a healthier, more aligned smile.

Frequently Asked Questions
Check out these frequently asked questions, or call us to speak with our team.


